Description
ECO-15Vet Bovine with Wireless Goggles, Convex Rectal Probe
Newest Model in Bovine sonography.
ECO15Vet veterinary ultrasound diagnostic machine is a newest research and development product by Dawei Veterinary Medical (Jiangsu) Co, Ltd. It adopts the new Acorn RISC Machine, compared with the traditional Microcontroller Unit, it has the characteristics of faster processing speed, stronger processing capacity, larger storage capacity, higher security performance, easier upgrade and maintenance, etc., which effectively brings greater convenience to users.
Applications
Y6 palm-sized veterinary ultrasound handheld device can examine: dogs, cats, sheep, pigs, cows, and horses.
Performance
1. 8-Inches,Waterproof
6600mAh High Capacity Battery
Main screen 8-inch medical HD display
Water Resistant,can be rinsed with water
Faster processing speed, more processing power, and larger storage capacity
2.Highly selective
Display Hood(optional)-Suitable for outdoor and other strong light scenes
Goggles(optional)-Adjustable brightness and contrast
Waterproof-Fully water resistant, the Y6 vet ultrasound machine handheld device can be rinsed and splashed
3.Powerful system functions
Display mode: B, BB, 4B, BM, M
Image optimization: 0-24
Permanent storage: 32G,TF card expandable
Total gain: 0-100
Support one-click full screen
Dynamic: 0-120
Movie playback: 255 frames
Brightness: 1-9 Pseudo-color: 28 kinds
Contrast: 1-9
Gamma correction adjustment: 0-9
Gray scale: 256 levels
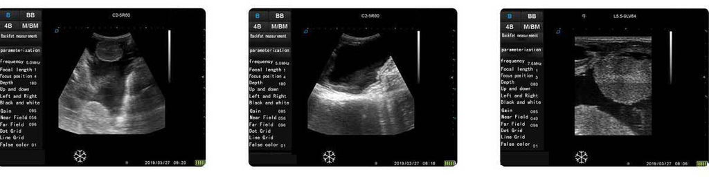
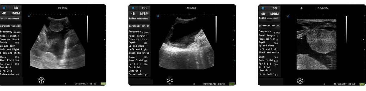
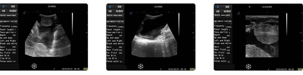
4.Diverse Measurement Functions
Conventional Measurement: Distance, Perimeter-Ellipse, Perimeter-Trajectory, Area-Ellipse, Area-Trajectory
Specialized Measurement: Abdominal, Cardiac, Obstetric, Superficial





















